Chuyên gia y tế Việt Nam hỗ trợ kịp thời cấp cứu một sản phụ Lào mắc COVID-19
Cụ thể, Tổ chuyên gia gồm ThS. BS Vũ Tưởng Lân (Trung tâm cấp cứu A9, Bệnh viện Bạch Mai), BS. Trần Hoàng Long (Trung tâm Bệnh Nhiệt đới, Bệnh viện Bạch Mai) và Điều dưỡng Nguyễn Viết Long (Khoa hồi sức tích cực, Bệnh viện Bạch Mai) đã có buổi làm việc tại Bệnh viện Pholthong về một trường hợp bệnh nhân COVID-19 mức độ nặng, nhập viện ngày 13/05/2021.
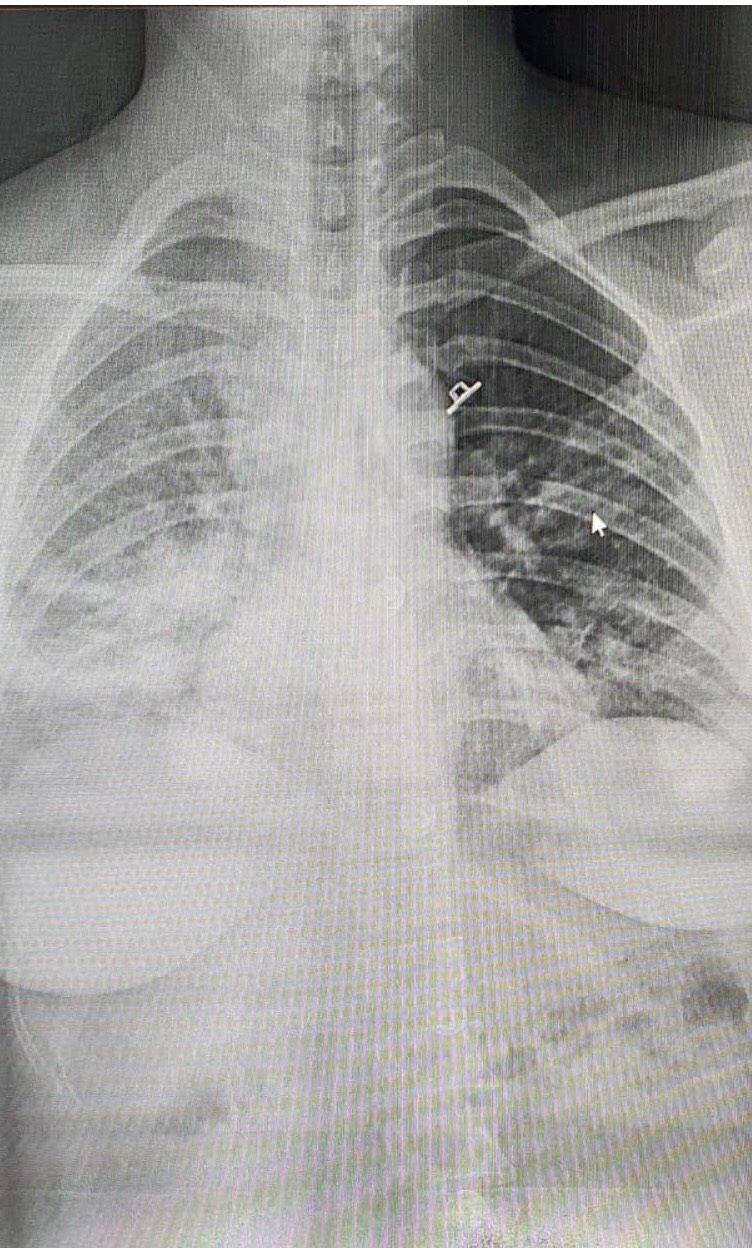
![]() |
| Hình ảnh X-quang chụp phổi của bệnh nhân (Nguồn: Bộ Y tế Việt Nam) |
Thông tin báo cáo tóm tắt từ phía bạn Lào cho biết, bệnh nhân nữ, quốc tịch Lào 31 tuổi, hiện đang mang thai 21 tuần, thai lần 2, tiền sử khoẻ mạnh, nhập cảnh từ Thái Lan vào ngày 10/05/2021. Tại thời điểm nhập cảnh, bệnh nhân đã được cách ly tập trung và làm xét nghiệm PCR SARS-CoV-2. Qua khai thác, bệnh nhân đã có biểu hiện sốt, tức ngực tại thời điểm nhập cảnh. Đến ngày 12/05/2015, kết quả xét nghiệm PCR SARS-CoV-2 dương tính, bệnh nhân vẫn còn sốt, tức ngực, khó thở, được liên hệ chuyển đến Bệnh viện Pholthong để tiếp tục điều trị.
Tại thời điểm thăm khám vào sáng ngày 14/05/2021, bệnh nhân đang thở oxy mask túi, huyết động ổn định, nhịp thở 34 lần/phút, còn tức ngực, bụng to tương ứng tuổi thai, không ra dịch-máu âm đạo, hình ảnh phim chụp X-quang ngực của bệnh nhân có tổn thương dạng kẽ ở hai đáy phổi. Bệnh viện Pholthong đã thực hiện xét nghiệm tổng phân tích tế bào máu cho thấy tình trạng giảm bạch cầu dòng Lympho (Bạch cầu 7.18G/l, tỉ lệ Lympho là 0.6G/l) và giảm tiểu cầu (Tiểu cầu 134 G/l), các xét nghiệm chức năng thận cơ bản trong giới hạn bình thường. Hiện tại bệnh nhân đã được sử dụng kháng sinh đường tĩnh mạch, thuốc kháng virus và Dexamethasone.
Nắm bắt thông tin trên, Đoàn công tác đã kịp thời hỗ trợ phía bạn Lào trong công tác điều trị. Đoàn chuyên gia y tế Việt Nam đã đề xuất thêm các xét nghiệm cần thiết để đánh giá sâu hơn về tình trạng nhiễm trùng và tình trạng rối loạn đông máu của bệnh nhân mà hiện tại bệnh viện chưa thực hiện được. Đồng thời, đoàn công tác cũng yêu cầu có bác sĩ chuyên khoa sản và máy siêu âm tại chỗ để phục vụ cho việc thăm khám đánh giá tình trạng thai nghén của bệnh nhân.
Ngoài ra, BS Vũ Tưởng Lân cũng đánh giá thêm về hệ thống máy thở và hướng dẫn bác sĩ điều trị tại Bệnh viện Pholthong về các phương án sử dụng máy thở tuỳ thuộc vào tình trạng diễn biến lâm sàng của bệnh nhân. Đồng thời, góp ý thêm về các quy trình chăm sóc bệnh nhân.
Làm việc tại bệnh viện Pholthong, các chuyên gia Đoàn công tác của Việt Nam cũng đã chia sẻ về các kinh nghiệm điều trị bệnh nhân COVID-19 tại Việt Nam theo Hướng dẫn Chẩn đoán và điều trị COVID-19 do chủng vi rút Corona mới (SARS-CoV-2) ban hành ngày 26 tháng 04 năm 2021 theo Quyết định số 2008/QĐ-BYT của Bộ Y tế. Bênh cạnh đó, còn chia sẻ thêm về các tiêu chuẩn ra viện, hướng dẫn các phương án theo dõi bệnh nhân tại nhà sau khi hoàn thành điều trị./.
| Thực tế, tại Lào, làn sóng COVID-19 lần thứ hai đã bùng phát từ ngày 11/4/2021 (trước đó 49 ca), số ca nhiễm nhanh chóng gia tăng ở cả 16/18 tỉnh, thành. Tính đến ngày 25/4/2021, với tổng số 323 ca mắc; 18/18 tỉnh, thành đã áp dụng lệnh phong toả. Với “mối quan hệ hữu nghị truyền thống, đoàn kết đặc biệt và hợp tác toàn diện Việt Nam – Lào”, Thủ tướng Chính phủ Việt Nam đã chỉ đạo các Bộ, Ngành cùng chung sức hỗ trợ nhân dân Lào chống dịch. Trên tinh thần đó, được sự chỉ đạo của Bộ trưởng Bộ Y tế, đoàn công tác của Bộ Y tế Việt Nam đã tới Lào gồm các thành viên là các chuyên gia về bác sĩ hồi sức tích cực, điều dưỡng hồi sức, bác sĩ tim mạch, truyền nhiễm, kiểm soát nhiễm khuẩn, bác sĩ dịch tễ, xét nghiệm và vệ sinh môi trường từ 8 đơn vị thuộc tuyến Trung ương của Bộ Y tế như: BV Bạch Mai, BV Chợ Rẫy, Viện Vệ sinh dịch tễ Trung ương, Viện sức khoẻ nghề nghiệp và môi trường, Viện Pasteur thành phố Hồ Chí Minh, Viện Pasteur Nha Trang, Cục Quản lý Khám chữa bệnh và Cục Quản lý Môi trường Y tế - Bộ Y tế. Đoàn được thành lập theo Quyết định số 2321/QĐ-BYT ngày 09/5/2021 của Bộ trưởng Bộ Y tế về việc cử công chức, viên chức đi công tác nước ngoài./. |


