Lần đầu tiên đặt stent trị được suy tĩnh mạch
Ngày 04/5, Bệnh viện Đại học Y Dược TP HCM công bố lần đầu tiên nơi này thực hiện thành công kỹ thuật mới điều trị suy tĩnh mạch do tắc nghẽn bằng can thiệp nội mạch. Kỹ thuật này được bệnh viện đăng ký với Bộ Y tế từ năm 2015.

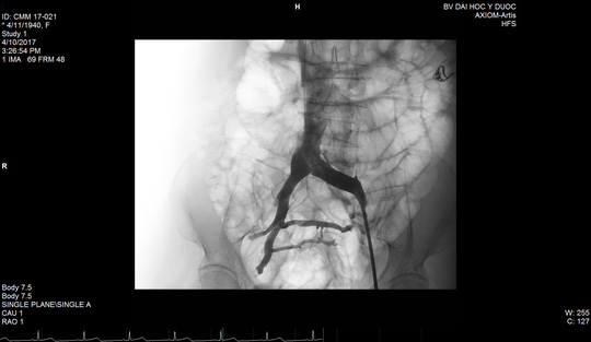
Tĩnh mạch người bệnh bị tắc trứơc khi đặt stent.
Theo ThS-BS Lê Thanh Phong, Khoa Lồng ngực Mạch máu - Bệnh viện Đại học Y Dược, hội chứng chèn ép tĩnh mạch chậu có thể gây nên tình trạng suy tĩnh mạch chi dưới mức độ nặng, đôi khi gây nguy hiểm đến tính mạng nhưng không thể chữa khỏi bằng cách điều trị suy tĩnh mạch thông thường. Còn nếu phẫu thuật sẽ phải phẫu thuật lớn, phức tạp, mất nhiều máu và gây đau đớn. Với can thiệp nội mạch bằng kỹ thuật mới, hội chứng này có thể điều trị khỏi bằng cách nong bóng và đặt giá đỡ tĩnh mạch (stent) chỉ qua một vết kim ở vùng bẹn đùi. Khi đó dòng máu về tim không còn bị cản trở, sự chèn ép cũng không còn. Người bệnh có thể đi lại vài giờ sau khi phẫu thuật.

Và mạch máu đã lưu thông lại nhiều sau khi được đặt stent.
Từ năm 2015 đến nay, bệnh viện này đã điều trị thành công 20 người bệnh bằng kỹ thuật mới này./.
Theo nld.com.vn

